ViV20
彩色多普勒超声系统
ViV20
ViV20
彩色多普勒超声系统
普惠 • 超值
所属分类:
超声影像
台式彩超
ViV20新一代全身应用型彩超,经济实用、简洁易用、皮实耐用,以其优异的图像性能、全面的功能配置,为一线临床提供超越预期的应用体验。

自适应空域滤波 zonClear
具有先进的自适应空域滤波算法,与运动补偿时域滤波技术相结合,通过探测解剖结构边界位置,有效降低斑点噪声,大幅增强组织边界显示能力和组织回声显示能力

反向脉冲谐波成像 PIHI
PIHI同时发射两个相位相反的脉冲,回波进行叠加处理,基波信号抵消,谐波可达6db。PIHI可有效抑制噪声,增强图像对比度和分辨力

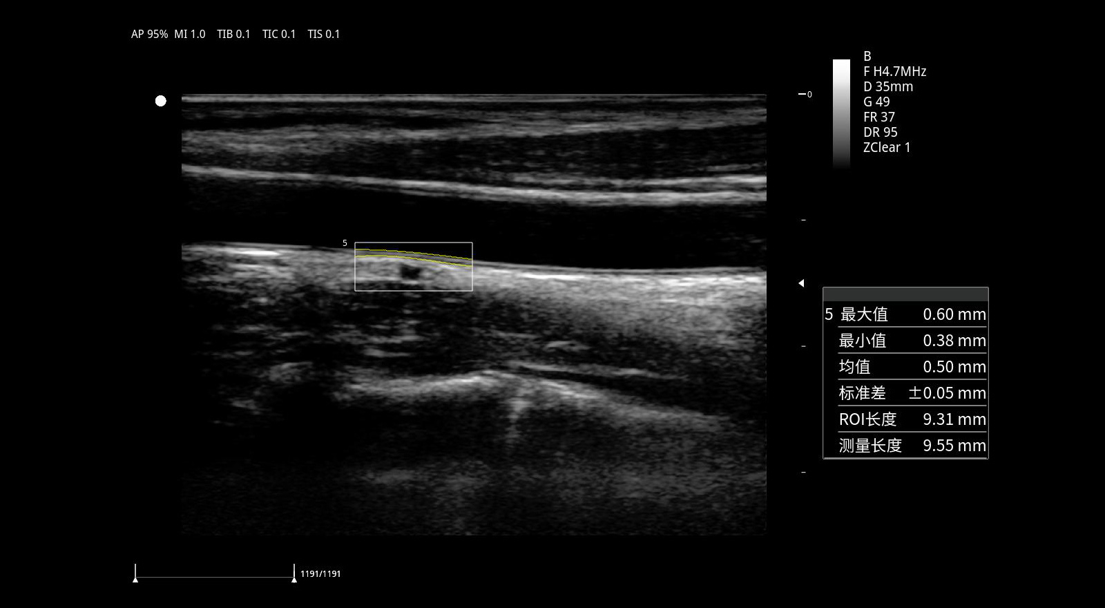
血管内中膜厚度自动测量 IMT
可以自动识别并自动测量血管内中膜的厚度,提供内中膜厚度测量报告,为心脑血管事件的预防提供独立的预测指标
创新的人机工程
超大显示屏
丰富的外设接口
4探头接口
可旋转操作台面
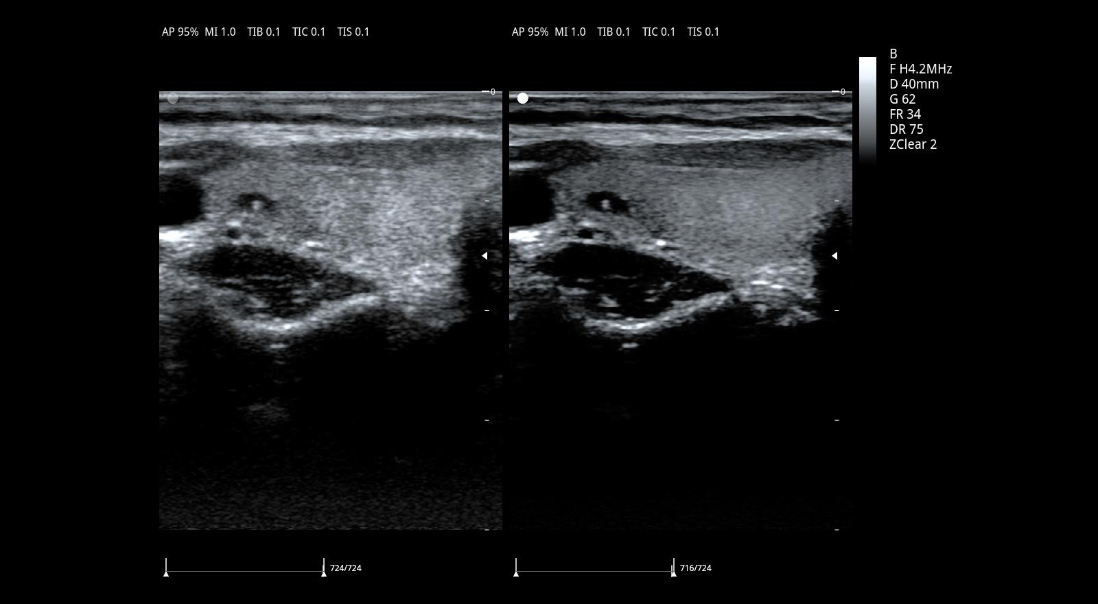
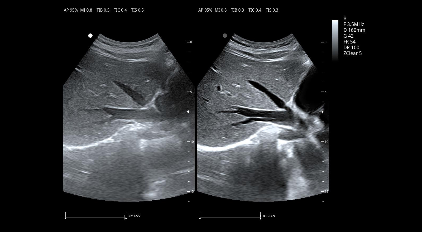
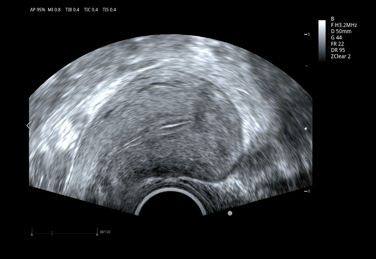
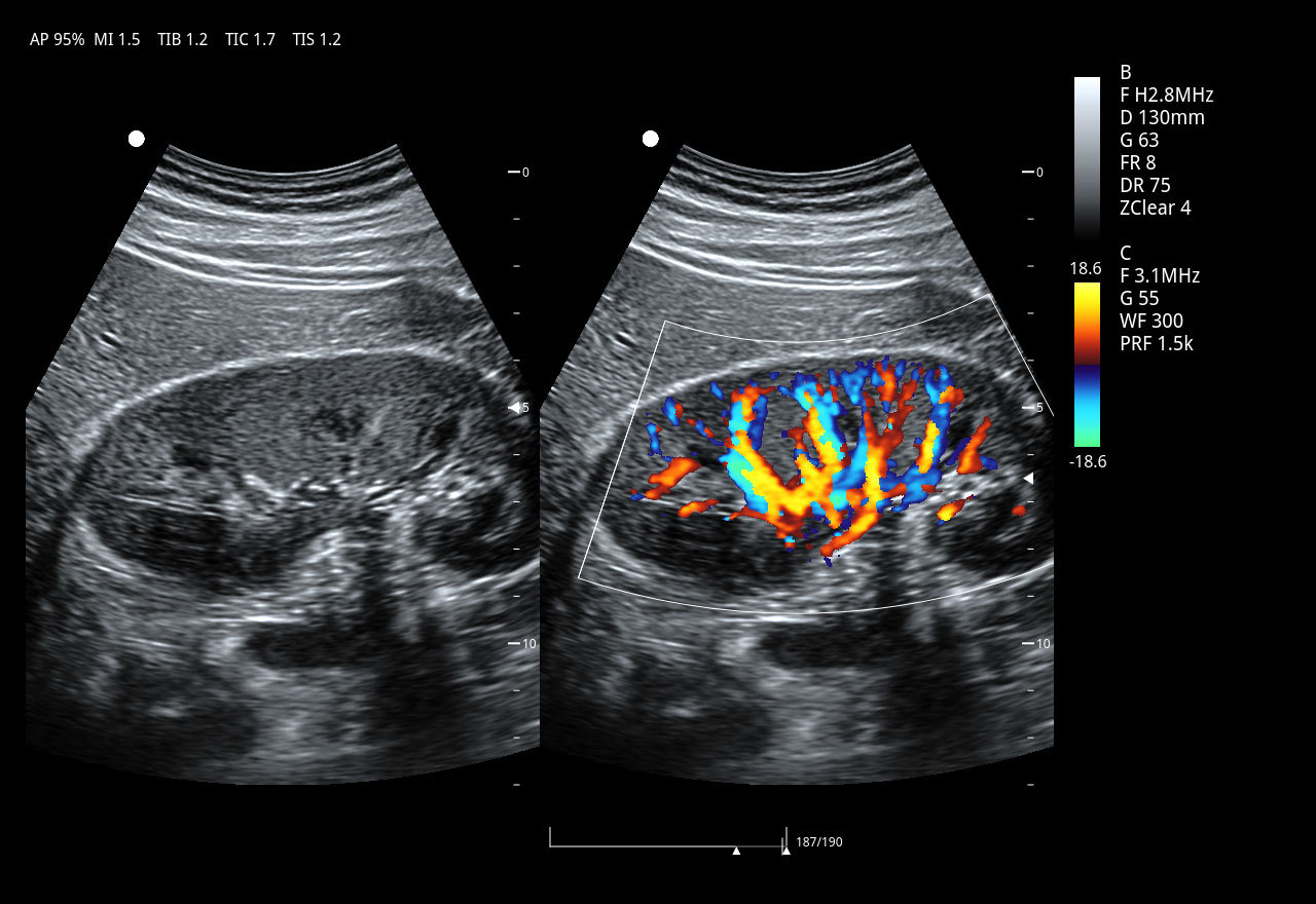
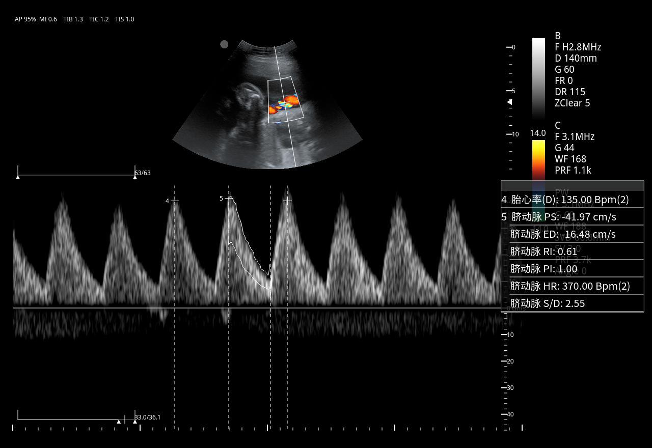
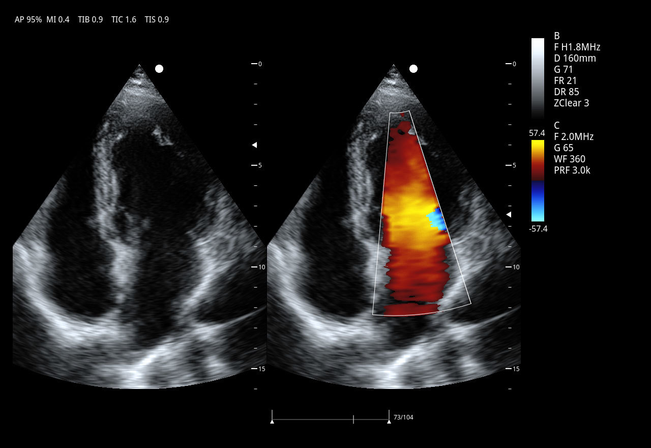
优异的临床图像
|
|
|
|
![]() |
![]() |
![]() |
禁忌内容或者注意事项详见说明书
鄂械广审(文)第250621-10622号
鄂械注准20222063855
关键词:
彩色多普勒超声系统
SAF Coolest v1.2 设置面板 EJTSA-AWBX-VSXAE-DSX
修改浏览器滑块样式: 4px,4px,#f00
无数据提示
Sorry,当前栏目暂无内容!
您可以查看其他栏目或返回 首页





