ViV65
彩色多普勒超声系统
ViV65
ViV65
彩色多普勒超声系统
钟灵毓秀 • 见所未见
所属分类:
超声影像
台式彩超
ViV65全面传承了uSeed高端技术平台,采用CPU+GPU多核并行处理技术,搭载高性能单晶体探头和复合晶体探头,可提供更宽带宽、更好穿透力和分辨力的超声影像,精准高效,全面提升临床诊断信心。

微血流成像 zMicroflow
显著提升肾脏、心肌内膜、淋巴结等组织内部微血管彩色血流信号的显示能力,真实反映血流变化情况

自适应空域滤波技术 zonClear
有效降低斑点噪声,大幅增强组织边界显示能力和组织回声显示能力

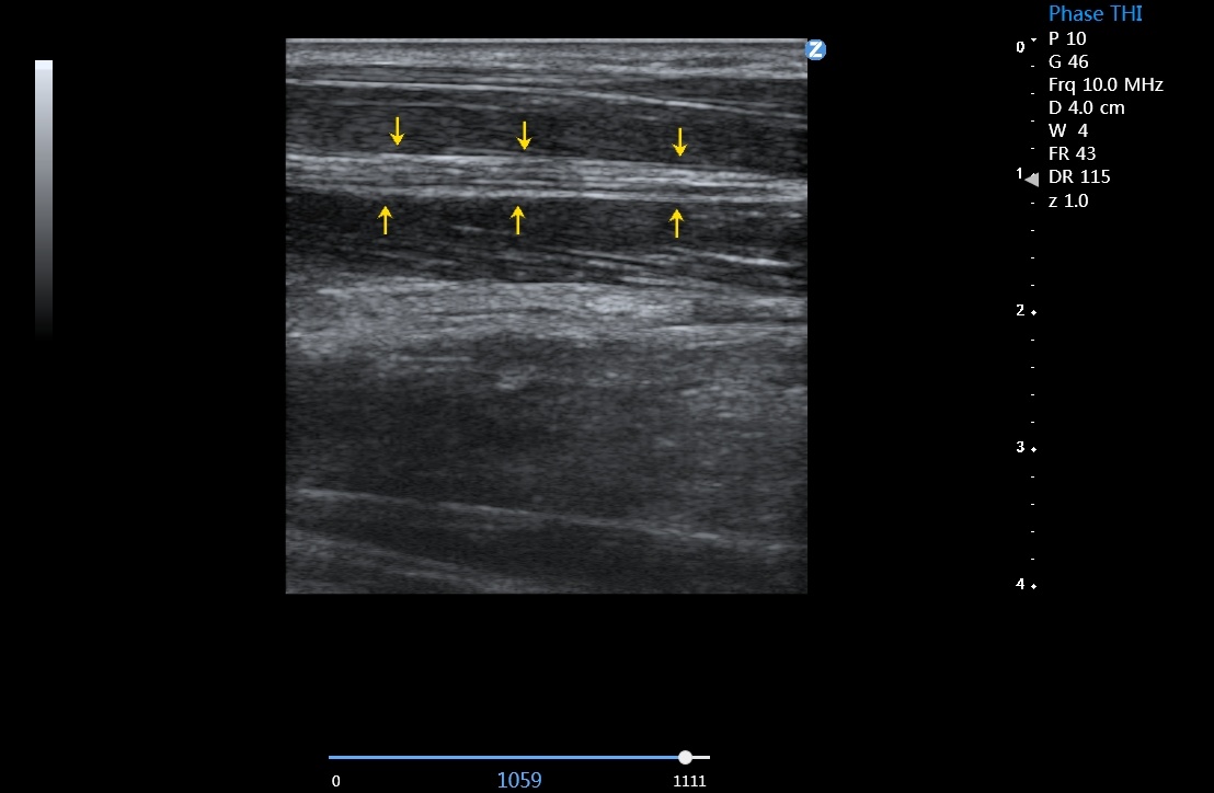
血管内中膜厚度自动测量 IMT
可以自动识别并自动测量血管内中膜的厚度,提供内中膜厚度测量报告,为心脑血管事件的预防提供评估指标

宽景成像
可提供更全面的扫查视野,为临床带来精准高效的疾病诊断

组织多普勒成像
支持TDI组织多普勒成像(TVI、TEI、TVM和TVD)
创新的人机工程设计
显示器、操控面板可全方位多角度调节
21英寸超高分辨率液晶显示器
13英寸高灵敏度触控显示屏,显示角度可调
4个通用探头接口
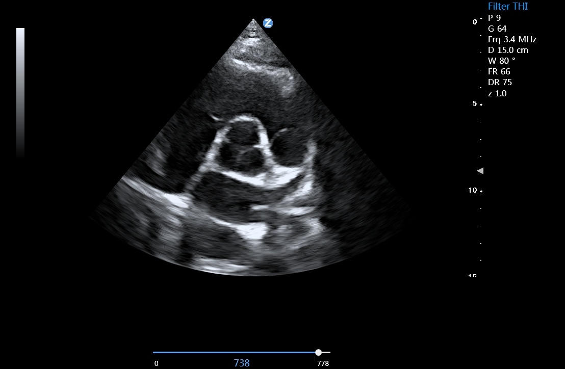
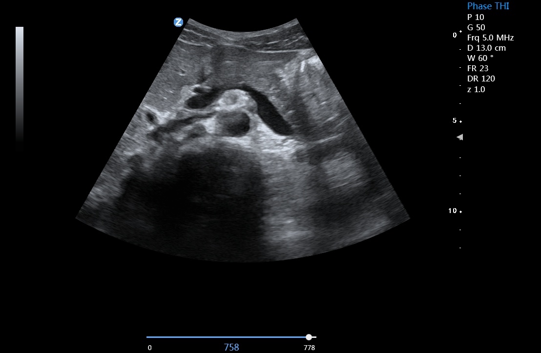
优异的临床图像
|
|
|
|
![]() |
![]() |
![]() |
禁忌内容或者注意事项详见说明书
鄂械广审(文)第250621-10623号
鄂械注准20212063267
关键词:
ViV65
SAF Coolest v1.2 设置面板 EJTSA-AWBX-VSXAE-DSX
修改浏览器滑块样式: 4px,4px,#f00
无数据提示
Sorry,当前栏目暂无内容!
您可以查看其他栏目或返回 首页





