VU60
动物专用台式彩色多普勒超声诊断系统
VU60
VU60
动物专用台式彩色多普勒超声诊断系统
医心慧影 • 超越期待
所属分类:
兽用产品
兽用台式超声
创新
VU60搭载了全新的焕影成像技术平台,采用uSeed全新的CPU+GPU+FPGA硬件架构,多核并行处理技术,搭载高性能单晶体探头和复合晶体探头,可提供更宽带宽、更好穿透力和分辨率的超声影像,精准高效,全面提升临床诊断信心。
![]() |
![]() |
zMicroflow微血流成像技术
zMicroflow微血流成像技术可显著提升肾脏心肌内膜、淋巴结等组织内部微细血管彩色血流
信号的显示能力,真实反映血流变化情况。

PIHI反相脉冲谐波成像技术
同时发射两个相位相反的脉冲,回波进行叠加处理基波信号抵消,谐波可达6db。有效抑制噪声,增强图像对比度和分辨率。

ZClear 自适应空域滤波技术
具有先进的自适应空域滤波,并与运动补偿时域滤波技术相结合,通过探测解剖结构边界位置有效降低斑点噪声,大幅增强组织边界显示能力和组织回声显示能力,增强临床诊断信心。

专业兽用预置
- 根据动物种类预置合适的图像参数,匹配智能算法平台自动优化参数
- 根据动物体质特征精确预置犬、猫、马、牛、羊等图像参数
- 支持客户自定义动物种类,预置参数快速保存和导出
- 专业兽用工具包: 测量公式,注释库,体位图,报告模板口

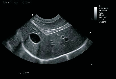
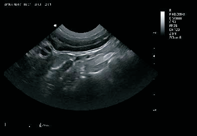
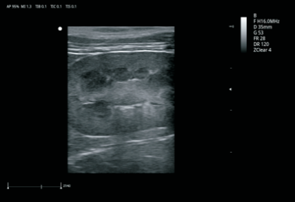
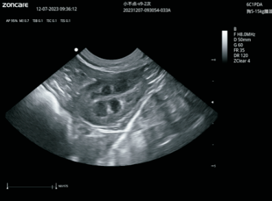
卓越的图像质量
![]() |
![]() |
![]() |
![]() |
![]() |
![]() |
![]() |
![]() |
关键词:
vu60
图像
技术
宠物
探头
临床
SAF Coolest v1.2 设置面板 EJTSA-AWBX-VSXAE-DSX
修改浏览器滑块样式: 4px,4px,#f00
无数据提示
Sorry,当前栏目暂无内容!
您可以查看其他栏目或返回 首页









